Лечение контактного кариеса на фронтальных зубах

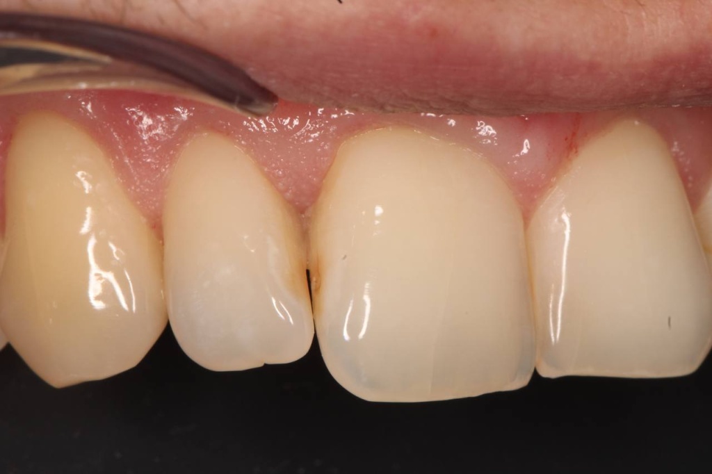
ЖалобыЖалоба на потемнение между передними зубами
Лечение

мин.jpg
мин.jpg
мин.jpg
мин.jpg
Лечение кариеса на зубах 1.2 1.1:
  1. под местной анестезией после качественной изоляции было проведено лечение контактного кариеса на двух передних зубах с дальнейшей постановкой пломбы и ее полированием до блеска

Лечение
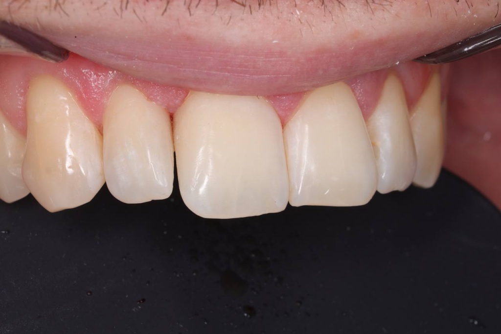
Лечение контактного кариеса на двух передних зубах с дальнейшей постановкой пломбы и ее полированием до блеска
Результат
Красивая широкая улыбка без потемнений между зубов
Хотите также?
Оставьте контактные данные, и мы вам перезвоним

С заботой о вашем здоровье

Работаем официально: все необходимые лицензии и сертификаты в соответствии с законодательством

Смотреть документы

Контакты

Телефон
Электронная почта
Адрес
Москва, б-р Ходынский, д. 20а
Работаем
Пн-Пт: с 10:00 до 20:00 Сб: с 10:00 до 19:00 Вс: с 10:00 до 17:00
Соцсети
Построить маршрут
Запись