Установка 6 виниров в фронтальной зоне

ЖалобыПациента беспокоил неудовлетворительный внешний вид зубов, потемнение и изменение цвета зубов в фронтальной зоне.
Лечение
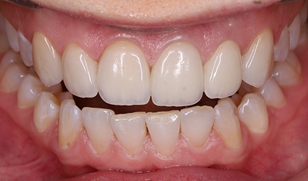
  • Проведена диагностика и планирование улыбки. Выполнено отбеливание ZOOM 4, снятие слепков и изготовление 6 керамических виниров. После примерки и согласования формы и цвета проведена фиксация виниров.
Результат
Восстановлена эстетика улыбки, устранено потемнение зубов, достигнут естественный цвет и гармоничная форма зубов в зоне улыбки.
До
После
Хотите также?
Оставьте контактные данные, и мы вам перезвоним

С заботой о вашем здоровье

Работаем официально: все необходимые лицензии и сертификаты в соответствии с законодательством

Смотреть документы

Контакты

Телефон
Электронная почта
Адрес
Москва, б-р Ходынский, д. 20а
Работаем
Пн-Пт: с 10:00 до 20:00 Сб: с 10:00 до 19:00 Вс: с 10:00 до 17:00
Соцсети
Построить маршрут
Запись